Рубрика МКБ-10: D86.0
МКБ-10 / D50-D89 КЛАСС III Болезни крови, кроветворных органов и отдельные нарушения, вовлекающие иммунный механизм / D80-D89 Отдельные нарушения, вовлекающие иммунный механизм / D86 Саркоидоз
Определение и общие сведения ( в т.ч. эпидемиология)[править]
Саркоидоз — это системный гранулематоз неизвестной этиологии, протекающий с поражением легких (почти во всех случаях) и других органов.
Синонимы: Болезнь Беснье-Бека-Шаумана
Распространенность саркоидоза в США составляет 11:100 000, она выше среди негров (40:100 000), пуэрториканцев (36:100 000) и выходцев из Скандинавии (64:100 000). Заболевают саркоидозом обычно в 20—40 лет. Возможность заражения саркоидозом от больного не доказана, однако отмечаются семейные случаи заболевания, которые можно объяснить либо генетической предрасположенностью, либо действием неблагоприятных факторов окружающей среды.
Этиология и патогенез[править]
Этиология саркоидоза остается неизвестной, но преобладающая гипотеза заключается в том, что различные неопознанные, вероятно, плохо разлагающиеся антигены как инфекционного, так и экологического происхождения могут вызвать преувеличенную иммунную реакцию у генетически восприимчивых хозяев.
Клинические проявления[править]
1. Общие сведения. Примерно 80% больных обращаются к врачу самостоятельно, в остальных случаях заболевание выявляется случайно при рентгенографии грудной клетки. Примерно в трети случаев постепенно нарастают общие симптомы — лихорадка, похудание, повышенная утомляемость, недомогание. При внезапном появлении высокой лихорадки и узловатой эритемы ремиссия, как правило, наступает быстрее.
2. Поражение легких. Хотя поражение легких отмечается у 90% больных, клинически оно проявляется лишь у 40—60%. Наиболее частые симптомы — одышка, сухой кашель, боль в груди, иногда кровохарканье. При физикальном исследовании отмечаются тахипноэ, звучные влажные хрипы, диффузные или выслушиваемые только над нижними отделами легких, при поражении бронхов — свистящее дыхание. Все эти симптомы неспецифичны и зависят от стадии заболевания.
3. Поражение других органов. При саркоидозе также наблюдаются увеличение лимфоузлов (у 32% больных), гепатомегалия (у 27%), поражение кожи (у 23%), увеит (у 17%), поражение периферических нервов (у 15%), спленомегалия (у 13%), артрит (у 10%), аритмии (у 5%), увеличение слюнных желез, сопровождающееся болью и сухостью во рту (у 5%), отек слизистой носа (у 5%) и поражение лицевого нерва (у 2%). Многие из этих поражений выявляются только при биопсии или аутопсии. Всем больным с подозрением на саркоидоз для исключения увеита проводят исследование со щелевой лампой.
Саркоидоз легких: Диагностика[править]
Лабораторные исследования
У 60—75% больных отмечается повышение активности АПФ в сыворотке, во время обострения активность этого фермента повышена у 90% больных. Чем она выше, тем больше распространенность и выше активность процесса. Во время обострения обычно повышена СОЭ. Типична лейкопения, анемия отмечается редко. У 50% больных выявляется поликлональная гипергаммаглобулинемия. Гиперкальциурия (гиперкальциемия при этом может отсутствовать) обусловлена, вероятно, секрецией 1,25-дигидроксивитамина D3 гранулемами. Иногда выявляется кожная анергия. Раньше для диагностики саркоидоза применяли пробу Квейма — внутрикожную инъекцию суспензии, полученной из селезенки больного саркоидозом. У больных саркоидозом через 4—6 нед в месте инъекции возникала типичная гранулема. В настоящее время из-за отсутствия стандартизированного антигена и риска передачи целого ряда инфекций пробу Квейма почти не применяют.
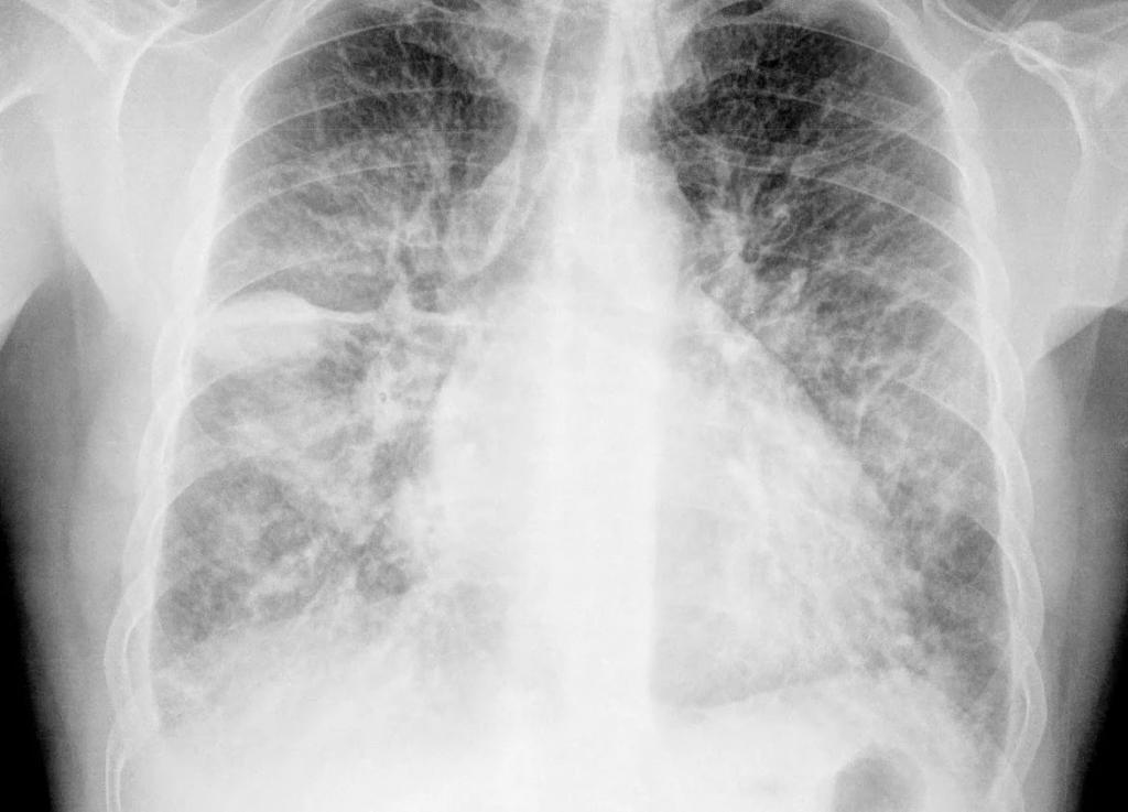
Рентгенография грудной клетки
У 5—10% больных при первом обращении к врачу изменения на рентгенограмме грудной клетки отсутствуют (стадия 0), у 35—45% больных выявляется двустороннее увеличение прикорневых лимфоузлов (стадия I), у 25% — линейные тени, сетчато-узелковое поражение и двустороннее увеличение прикорневых лимфоузлов (стадия II), у 25% — ограниченные затемнения в легких (стадия III). Конечная стадия заболевания (стадия IV) проявляется необратимыми изменениями в легких — пневмосклерозом, смещением корней легких, бронхоэктазами, эмфиземой. Изредка наблюдаются пневмоторакс, односторонний плевральный выпот, единичные или множественные полости и очаговые тени, обызвествление лимфоузлов. КТ и сцинтиграфия легких с галлием при саркоидозе обычно не применяются.
Исследование функции внешнего дыхания
Обычно выявляются рестриктивные нарушения дыхания со снижением общей емкости легких, ЖЕЛ и диффузионной способности легких. При поражении бронхов возможны обструктивные нарушения дыхания.
Иммунологические исследования
Ведущую роль в патогенезе саркоидоза играют аллергические реакции замедленного типа, хотя, что их вызывает, неизвестно. В легких возникают лимфоцитарные инфильтраты, состоящие преимущественно из лимфоцитов CD4. Соотношение CD4:CD8 в жидкости, полученной при бронхоальвеолярном лаваже, колеблется от 2:1 до 10:1 (в норме — 1,2:1—1,6:1). Типичная для саркоидоза кожная анергия может быть следствием скопления лимфоцитов CD4 в легких и других органах. Содержащиеся в гранулемах T-лимфоциты активированы: они усиленно продуцируют интерлейкин-2, интерферон гамма, гранулоцитарно-моноцитарный колониестимулирующий фактор, фактор хемотаксиса моноцитов и растворимые рецепторы к интерлейкину-2. Макрофаги легких также активированы, о чем свидетельствует увеличение секреции интерлейкина-1, фактора некроза опухолей и повышенная способность к представлению антигенов. Однако ни один их перечисленных показателей не позволяет оценить тяжесть и прогноз заболевания.
Гистологическое исследование
Самый характерный признак саркоидоза — гранулемы без казеозного некроза, состоящие из эпителиоидных и гигантских многоядерных клеток. В гранулемах часто обнаруживаются включения Шаумана. В центре гранулем иногда наблюдается фибриноидный некроз, воспалительная реакция по периферии отсутствует. Со временем гранулема рубцуется или полностью рассасывается. Гранулемы выявляются во всех пораженных органах. В легких их обнаруживают даже в отсутствие изменений на рентгенограммах грудной клетки.
1. Диагностические критерии
а. Типичная клиническая и рентгенологическая картина заболевания.
б. Выявление гранулем без казеозного некроза при гистологическом исследовании биоптатов.
в. Отсутствие других причин гранулематозного воспаления, прежде всего инфекционных заболеваний.
2. Биопсия. Участок для биопсии выбирают с учетом клинических данных, доступности и риска осложнений. Для исключения туберкулеза и грибковой инфекции проводят посев полученного при биопсии материала.
а. Биопсия легкого. Обычно проводят трансбронхиальную биопсию. Забирают 4—6 проб ткани из разных участков. Такое исследование позволяет подтвердить диагноз у 85—90% больных. Гранулемы в биоптатах выявляются даже в отсутствие клинических и рентгенологических признаков поражения легких. Открытая биопсия легкого обычно не требуется.
Читайте также: Код мкб марс ооо
б. Биопсия лимфоузлов, печени и селезенки. При биопсии увеличенных лимфоузлов можно поставить диагноз у 80% больных, при биопсии печени, особенно если повышена активность щелочной фосфатазы, — у 70%, при биопсии селезенки — у 50%. При увеличении лимфоузлов средостения можно провести медиастиноскопию, однако в настоящее время этот метод почти не используется.
в. Биопсия других органов. Гранулемы при саркоидозе можно обнаружить в коже, слезных и слюнных железах, скелетных мышцах, конъюнктиве, слизистой носа даже в отсутствие признаков поражения этих органов.
Дифференциальный диагноз[править]
Гранулемы без казеозного некроза неспецифичны для саркоидоза, поскольку они могут наблюдаться при туберкулезе, грибковых инфекциях, лимфомах и других злокачественных новообразованиях (в регионарных лимфоузлах), инородных телах, бериллиозе, экзогенном аллергическом альвеолите, первичном билиарном циррозе, проказе, бруцеллезе, третичном сифилисе, гигантоклеточном артериите. Повышение активности АПФ также неспецифично для саркоидоза и наблюдается при тиреотоксикозе (у 81% больных), проказе (у 53%), циррозе печени (у 28,5%), сахарном диабете (у 24—32%), силикозе (у 21%), лимфоэпителиоидной лимфоме, бериллиозе. При микобактериальной и грибковых инфекциях активность АПФ нормальная. В связи с этим диагноз саркоидоза обычно ставят после исключения всех перечисленных выше заболеваний.
Саркоидоз легких: Лечение[править]
Поскольку течение саркоидоза отличается большим разнообразием и высокой частотой самопроизвольных ремиссий, лечение подбирают индивидуально. При двустороннем увеличении прикорневых лимфоузлов в отсутствие жалоб и поражения других органов ограничиваются наблюдением. Каждые 6 мес проводят рентгенографию грудной клетки. При саркоидозе легких кортикостероиды назначают при наличии жалоб и длительно сохраняющегося (более 2 лет) или прогрессирующего поражения. Кортикостероиды применяют также при увеите и длительно сохраняющихся системных проявлениях заболевания.
Кортикостероиды:
а. Для местного применения. При острых увеитах местно применяют 1% раствор триамцинолона, при узловатой эритеме кортикостероиды непосредственно вводят в пораженные участки кожи.
б. Для системного применения. Преднизон назначают в дозе 40—60 мг/сут внутрь в несколько приемов (детям — 1—2 мг/кг/сут внутрь) в течение 4—6 мес. Затем дозу препарата постепенно снижают до 10—20 мг/сут и продолжают лечение еще 6—12 мес. Периодически пытаются снизить дозу или полностью отменить препарат. Преднизон можно назначать по 40 мг/сут внутрь через день. По возможности дозу снижают на 10 мг каждые 3 мес. В отдельных случаях возможно назначение препарата в более низкой дозе и более быстрое ее снижение. Временное прерывание лечения или преждевременная отмена препарата обычно приводят к обострению. Для его лечения приходится назначать кортикостероиды в более высоких дозах. Предотвратить пневмосклероз с помощью кортикостероидов для системного применения удается не всегда.
Оценивать эффективность лечения саркоидоза сложно. Необходимы регулярное физикальное исследование, исследование функции внешнего дыхания, определение активности АПФ, рентгенография грудной клетки. При пневмосклерозе лечение обычно малоэффективно. При массивном пневмосклерозе может быть эффективна трансплантация легкого.
Профилактика[править]
Прочее[править]
Примерно у 60% больных через 2 года наступает самопроизвольная ремиссия, 20% больных выздоравливают в результате лечения. У 10—20% больных ремиссии достичь не удается. В редких случаях необратимые изменения выявляются уже при первом обращении к врачу. Чем острее начало заболевания, тем быстрее наступает ремиссия. Лечение внелегочного саркоидоза и саркоидоза ЦНС обычно малоэффективно.
Смертность, связанная с саркоидозом, оценивается в пределах 0,5-5%.
Источники (ссылки)[править]
Дополнительная литература (рекомендуемая)[править]
Действующие вещества[править]
- Дексаметазон
- Метилпреднизолон
- Преднизолон
Под термином «саркоидоз» понимается заболевание системного характера. В патологический процесс могут вовлекаться различные органы, но чаще всего поражается дыхательная система. На фоне течения недуга в здоровых тканях происходит формирование специфических гранулем. В настоящее время неизвестны точные причины развития саркоидоза легких. Однако одним из провоцирующих факторов является возраст. Чаще всего патология диагностируется у лиц от 20 до 35 лет. При саркоидозе легких прогноз для жизни напрямую зависит от своевременности обращения к врачу. Существует несколько методик лечения недуга, а при их неэффективности решается вопрос относительно целесообразности проведения хирургического вмешательства.
Патогенез
Важно знать о том, что саркоидоз легких — такое заболевание, для которого характерно полиорганное течение. Под воздействием каких-либо провоцирующих факторов происходит поражение альвеолярной ткани. Данный патологический процесс сопровождается возникновением пневмонита интерстициального характера. Нередко развивается альвеолит с последующим формированием саркоидных гранулем. Они образуются в междолевых бороздах, а также в перибронхиальной и субплевральной тканях.
С течением времени сформированные гранулемы рассасываются самостоятельным образом или перерождаются в гиалиновую бесклеточную массу. На фоне прогрессирования патологии нарушается вентиляционная функция. Лимфатические узлы начинают оказывать давление на стенки бронхов, благодаря чему нередко развиваются нарушения обструктивного характера. Реже происходит формирование ателектазов и участков гиповентиляции.
По мере роста гранулемы сливаются друг с другом, образуя большие очаги патологии. На фоне данного процесса нарушается работа легких. Именно на этом этапе появляются выраженные клинические проявления недуга. При саркоидозе легких прогноз для жизни зависит от характера течения патологии. Как было упомянуто выше, гранулемы могут рассосаться самостоятельно или же, напротив, стать причиной возникновения фиброзных изменений в пораженном органе.
В Международной классификации болезней (МКБ-10) саркоидозу легких присвоен код D86.0.
Этиология
В настоящее время неизвестна точная причина развития недуга. Ученые уже больше века проводят исследования, но они до сих пор не дали результатов. В процессе осуществления испытаний появилось несколько теорий возникновения заболевания. В каждой из них заложен определенный механизм развития патологии.
Читайте также: Остеохондроз поясничной области код мкб
Теории возникновения саркоидоза легких:
- Инфекционная. Возбудителем недуга являются те или иные болезнетворные агенты. Проникая в организм, они провоцируют формирование иммунного ответа. Защитная система вырабатывает против возбудителя антитела, которые свободно поступают в кровь и циркулируют вместе с ней. Если они перемещаются внутри организма длительное время, это вызывает определенные нарушения на клеточном уровне. При наличии наследственной предрасположенности у человека, как правило, развивается системная патология. Ученые считают, что в группе риска находятся лица, перенесшие в прошлом следующие заболевания: туберкулез, хламидиоз, клещевой боррелиоз, язву желудка, краснуху, гепатит С, аденовирусную инфекцию, герпес.
- Теория контактной передачи. Ее суть состоит в том, что большинство людей с саркоидозом ранее взаимодействовали с больными. Нередко на практике встречаются случаи семейного контакта, при этом у родственников патология возникает в разное время. Данная теория возникла после исследования на мышах. Кроме того, имеется несколько случаев заражения после трансплантации органов.
- Теория о влиянии внешних факторов. В группе риска находятся люди, чья профессиональная деятельность подразумевает частые контакты с вредными химическими соединениями. Кроме того, вероятной причиной развития недуга является пыль. Согласно исследованиям, у людей, регулярно вдыхающих ее (шахтеров, спасателей и пр.), саркоидоз легких диагностируется в 4 раза чаще. Наиболее вредными являются частицы алюминия, бериллия, меди, золота, циркония, кобальта и титана.
- Теория наследственности. Возможно, что у людей в организме присутствуют дефектные гены. Они, в свою очередь, кодируют аномальные белки. Но при этом непосредственно процесс развития заболевания запускается только под воздействием какого-либо провоцирующего фактора, например, после контакта с больным.
- Медикаментозная. На практике встречались случаи, когда формирование гранулем происходило на фоне длительного приема определенных лекарственных средств, в частности, антиретровирусных препаратов и средств на основе интерферона. Подтвердить эту теорию довольно сложно, так как данные медикаменты нужно длительно принимать при таких заболеваниях, которые сами могут стать причиной саркоидоза. Ярким примером является СПИД.
Таким образом, неизвестна точная причина развития недуга. В настоящее время основной считается теория наследственности, а все остальные факторы рассматриваются как провоцирующие.
Клинические проявления
Важно знать, что саркоидоз легких — такое заболевание, которое относится к системным. Оно имеет несколько форм, но каждая из них имеет общие признаки.
На начальной стадии развития недуга появляются следующие симптомы:
- Общая слабость. На недомогание жалуются до 80% больных. Слабость появляется на фоне нарушения обменных и биохимических процессов в организме. Чаще всего она беспокоит по утрам. Пациенты отмечают, что после пробуждения они не ощущают прилива сил, даже после длительного ночного сна они не восстанавливаются.
- Повышение температуры тела. Данный симптом появляется довольно редко. Он возникает на фоне течения острого воспалительного процесса.
- Уменьшение массы тела. Оно происходит не резко, а постепенно. Уменьшение массы тела обусловлено нарушением обмена веществ и наличием хронических процессов, трудно поддающихся лечению.
- Одышка. Данный симптом появляется при саркоидозе легких и лимфатических узлов в них. Выраженность одышки усиливается после физических нагрузок, что обусловлено повышенной потребностью тканей в кислороде. Чтобы его обеспечить, бронхи расширяются, но из-за гранулем и увеличенных лимфатических узлов достаточное количество воздуха в легкие все равно не поступает.
- Кашель. Возникает при раздражении нервных волокон и сдавливании дыхательных ходов. На начальных этапах развития заболевания кашель сухой. С течением времени он начинает сопровождаться выраженными болезненными ощущениями. Это обусловлено тем, что на поздних этапах в воспалительный процесс вовлекается плевра. Кроме того, если гранулемы образовались рядом с ней, дыхание также становится болезненным.
- Дискомфорт в области груди. Незначительные болезненные ощущения выявляются у трети пациентов. При этом они не иррадиируют в другие части тела.
При нарушении функции газообмена, вентиляции или легочного кровотока появляются признаки дыхательной недостаточности. Важно помнить о том, что саркоидоз легких — такое заболевание, которое может поразить любой орган. При несвоевременном его лечении развиваются всевозможные осложнения.
Формы и степени тяжести
Согласно локализации и рентгенологическим показателям, различают:
- Поражение внутригрудных лимфатических узлов.
- Саркоидоз легких.
- Поражение дыхательной системы.
- Саркоидоз легких и внутригрудных лимфатических узлов.
- Генерализованную форму недуга.
- Саркоидоз лимфоузлов.
Так как заболевание носит системный характер, гранулемы могут сформироваться в различных тканях. Однако на практике чаще в патологический процесс вовлекаются и легкие, и лимфатические узлы. Генерализованная форма считается самой тяжелой, так как она поражает практически все системы.
Код по МКБ-10 саркоидоза легких с поражением лимфоузлов — D86.2. В классификации указано еще несколько форм недуга. Код по МКБ-10 саркоидоза легких других комбинированных локализаций — D86.8. В некоторых случаях врач не может по имеющимся признакам отнести патологию к той или иной форме. В данной ситуации необходимо указывать другой код МКБ — «Саркоидоз легких неуточненный» (D86.9).
Также принято разделять течение болезни на стадии. Степени саркоидоза легких:
- Первая. На данном этапе гранулемы активно формируются, образуя очаги поражения. Но диагноз на этой стадии поставить еще затруднительно. В это время начинают проявляться первые признаки недуга.
- Вторая. Это этап ремиссии. Он характеризуется замедлением роста старых гранулем. Новые при этом практически не формируются. На данной стадии очень легко поставить диагноз с помощью биопсии. Симптомы заболевания не исчезают, но и состояние больного значительно не ухудшается. Появление новых признаков для данной стадии не характерно.
- Третья. Это стабильное течение патологии. Гранулемы постепенно увеличиваются в размерах. В очагах патологии можно обнаружить участки некроза, который становится причиной ухудшения самочувствия больного. Недуг развивается медленно, но полностью не вылечивается саркоидоз легких.
Читайте также: Солитарная киста кости код мкб
Для самостоятельного рассасывания гранулем характерно обратное развитие.
Диагностика
Обнаружить заболевание сразу довольно затруднительно, так как его симптомы схожи с клиническими проявлениями более распространенных недугов. Для того чтобы врач смог поставить правильный диагноз, пациенту необходимо пройти комплексное обследование, включающее:
- Общий анализ крови. Клинически значимыми являются следующие показатели: эритроциты, лейкоциты, эозинофилы, лимфоциты, моноциты, СОЭ.
- Анализ крови на АПФ. Это фермент, который в большом количестве способны вырабатывать клетки, из которых состоят гранулемы.
- Анализ крови на кальций.
- Исследование жидкой соединительной ткани на фактор некроза опухоли альфа.
- Пробу Квейма — Зильцбаха. Ее суть состоит в введении пациенту лимфатической ткани, пораженной недугом. Затем врач оценивает результат по состоянию кожного покрова.
- Пробу Манту.
- Анализ крови на медь.
- Рентгенографию.
- КТ.
- МРТ.
- Сцинтиграфию (радионуклидное исследование).
- УЗИ.
- Спирометрию.
- ЭКГ.
- Электромиографию.
- ФГДС.
- Обследование глазного дна.
Таким образом, стоит понимать, что саркоидоз легких — такая патология, выявить которую достаточно сложно, это занимает длительное время. Тем не менее схему лечения врач может составить только на основании результатов комплексного обследования.
Консервативные методы терапии
Согласно отзывам, саркоидоз легких — не приговор. Если строго выполнять все рекомендации врача, возможно добиться наступления стойкой ремиссии и забыть о заболевании.
Существует несколько схем лечения саркоидоза легких. Отзывы врачей и их пациентов подтверждают, что наиболее эффективной на ранней стадии развития недуга является монотерапия. Она подразумевает введение только одного препарата. Как правило, врачи назначают «Метотрексат», «Пентоксифиллин» или «Альфа-токоферол».
Еще одной схемой лечения является комбинированная. В ее рамках показано одновременное введение «Хлорохина» и глюкокортикостероидов или «Альфа-токоферола» и «Пентоксифиллина». При необходимости врач назначает прием препаратов, относящихся к группе НПВС. При поражении других органов показана симптоматическая терапия.
Более тяжелым считается саркоидоз легких и внутригрудных лимфатических узлов. В этом случае недуг может проявлять устойчивость к гормональным препаратам. В данной ситуации показано облучение пораженной зоны (грудной клетки). Как правило, болезнь отступает через 3-5 процедур.
Нередко врачи рекомендуют пациентам диету. Лечебного питания при саркоидозе не существует, но, согласно статистическим данным, регулярное голодание в 75% случаев останавливает развитие патологического процесса. Данный метод должен практиковаться только в условиях стационара и под наблюдением врачей.
Целью лечения саркоидоза также является профилактика развития осложнений. Врачи рекомендуют чаще проветривать помещение, регулярно делать влажную уборку, избегать стрессовых ситуаций и переохлаждения.
Хирургическое вмешательство
Оперативное лечение проводится лишь в единичных случаях. Это обусловлено тем, что удаление пораженных лимфатических узлов — это довольно масштабное вмешательство, а гранулемы даже при их отсутствии смогут впоследствии образоваться вновь.
Операция проводится только в том случае, если нет иного способа спасти пациенту жизнь. Также необходимость в хирургическом вмешательстве требуется при развитии опасных осложнений заболевания.
Последствия
Сам по себе саркоидоз легких в крайне редких случаях является причиной смерти пациента. Но заболевание может спровоцировать развитие опасных для жизни осложнений.
Наиболее распространенные последствия саркоидоза:
- Коллапс легкого. Возникает в том случае, если на фоне роста гранулем нарушилась целостность плевры. В результате показатель ее давления уравнивается с атмосферным. Закономерным следствием является сжимание легкого. Если вовремя не оказать человеку первую помощь, он умрет за довольно короткое время.
- Кровотечения. Развиваются на фоне повреждения сосудов. Как правило, изливание жидкой соединительной ткани прекращается самостоятельным образом. Исключением являются случаи, когда при саркоидозе поражается печень.
- Частые эпизоды пневмонии. Данное осложнение чаще всего возникает на фоне гормональной терапии. Глюкокортикостероиды способствуют ослаблению защитных сил организма, благодаря чему он становится восприимчивым к инфекционным агентам.
- Образование конкрементов в почках. Камни формируются из-за большого количества кальция в крови. В лоханке он связывается с иными микроэлементами и образует соли.
- Нарушение сердечного ритма. Одно из самых опасных осложнений. На фоне нарушения сердечного ритма головной мозг начинает страдать от нехватки кислорода. В результате происходит гибель нервных клеток.
- Фиброз. Клетки легких видоизменяются, благодаря чему орган перестает нормально функционировать. В данном случае единственным методом лечения является пересадка.
Кроме того, практически у всех больных саркоидозом выявляются проблемы психологического характера. Они возникают на фоне ухудшения качества жизни.
Прогноз
Саркоидоз легких — это довольно опасное заболевание, но при своевременном обращении к врачу возможно добиться наступления стойкой ремиссии. Согласно статистическим данным, летальный исход наступает примерно у 3% больных. В 70% случаев удается добиться длительной ремиссии.
Важно помнить о том, что исход заболевания зависит от многих факторов. Полностью избавиться от недуга невозможно, но избежать обострений при строгом соблюдении рекомендаций врача возможно.
В заключение
Саркоидоз легких — это патология, характеризующаяся образованием в здоровой ткани специфических гранулем. В настоящее время точные причины развития заболевания неизвестны, однако основной является теория о наследственной предрасположенности. При своевременном обращении к врачу прогноз, как правило, благоприятный. Однако важно быть готовым к тому, что процесс диагностики займет длительное время. Это обусловлено тем, что симптомы недуга схожи с признаками более распространенных патологий.
В Международной классификации болезней (МКБ-10) саркоидозу легких присвоен код D86.0.






