Что вызывает рак почки
На развитие опухолей злокачественного характера, которые поражают почку, влияет ряд факторов:
- Чрезмерное употребление жирной пищи, курение.
- Бесконтрольный прием анальгетиков.
- Слабый иммунитет, не способный бороться с опухолью.
- Поликистоз почек, хронический пиелонефрит.
- Воздействие химических веществ на организм.
- Радиационное излучение.
- Перенесенная травма органа.
Однако не всегда подобные факторы приводят к патологии. Рак почки может возникнуть и по другим причинам. Многие опухоли выявляют при случайном обследовании во время проведения УЗИ. В большинстве случаев болезнь протекает бессимптомно.
Как проявляется рак почки? Симптомы
Классическими проявлениямирака почки являются гематурия (60% случаев), пальпируемое образование (45% случаев) и боль в боку, животе (40% случаев). Однако на сегодняшний день все эти признаки одновременно встречаются не чаще, чем в 10% случаев.
Дополнительными признаками заболевания являются:
- Повышение СОЭ (55,6% случаев).
- Повышение АД (37,5% случаев).
- Анемия (36,3% случаев).
- Снижение веса (34,5% случаев) — снижение более 10% общей массы тела.
- Повышение температуры тела (17,2% случаев).
- Нарушение функции печени (3-20% случаев) — повышение в биохимическом анализе крови показателей билирубина, щелочной фосфатазы, трансаминаз, повышение протромбинового времени.
- Гиперкальциемия (4,9% случаев).
- Полицитемия (3,5% случаев) — снижение количества тромбоцитов и нейтрофилов.
- Нейромиопатия (3,2% случаев).
- Амилоидоз (2% случаев).
- Варикоцеле (2% случаев) — чаще левостороннее.
- Боли в костях.
Могут ли другие заболевания проявляться подобными признаками?
Да, могут, к ним относятся:
- Абсцесс почки.
- Киста почки.
- Острый пиелонефрит.
- Хронический пиелонефрит.
- Аденома почки.
- Инфаркт почки.
- Ангиомиолипома почки.
- Онкоцитома.
- Опухоль Вильмса.
- Саркома.
- Метастазы из другого органа.
- Метастазы меланомы.
- Неходжскинские лимфомы.
Основные типы злокачественных опухолей почки
По гистологическому типу разделяют несколько видов злокачественных новообразований органа:
- Светлоклеточный рак – встречается в 80% случаев. Характеризуется быстрым прогрессированием.
- Папиллярный – диагностируют в 10% случаев. Неоплазия появляется в сосочках почки.
- Хромофобный – обнаруживается в 4-5 процентах случаев.
- Опухоль Беллини – патология собирательных трубок, которая встречается в менее чем 1% случаев.
- Эозинофильная аденома – рак почки у женщин и мужчин, возникающий на фоне ожирения.
Симптомы
Долгое время рак почки не проявляет себя, поэтому определить его можно только при обследовании. В начале развития заболевание легко поддается лечению. Основные симптомы проявляются уже на поздней стадии патологии:
- Боль в области поясницы.
- Наличие кровяной примеси в мочи.
- Прощупывание образования при пальпации.
При раке почки боли обычно тупые и слабовыраженные, приобретают ноющий характер. Некоторые списывают на тяжесть в пояснице. При разрастании опухоли с правой стороны начинают расширяться вены семенного канатика (варикоцеле). При большой неоплазии появляется анемия, слабость, повышенная температура и человек быстро сбрасывает вес.
Типы онкологических заболеваний почек
Современная медицина выделяет три типа онкологического заболевания почек:
- Опухоль Вильмса или саркома почки – заболевание, которое развивается в младенческом возрасте. Причины развития не изучены. Чаще всего заболевание определяют как генетическое. Саркомой почки в 85% случаев страдают дети до 5 лет.
- Гипернефрома – самый распространенный вид почечно-клеточного рака.
- Аденокарцинома – вид онкологического заболевания почки, при котором поражается сам орган или лоханка. Встречается редко, всего в 7% случаев.
Не зависимо от типа ракового образования заболевание поддается лечению и сейчас можно вылечить рак почки при своевременном выявлении и обращении к специалисту-урологу
Стадии заболевания
- I стадия рака почки: наличие неоплазии в органе размером до 7 см, которая не выходит за его пределы.
- II стадия: опухоль в почке, которая начинает увеличиваться в размерах, но не затрагивает отдаленные органы и лимфатические узлы.
- III стадии: новообразование приобретает любой размер, выходит за пределы органа в жировую клетчатку, образует опухолевый тромб в крутых венах, обеспечивающих отток крови из почки.
- IV стадия: злокачественное образование распространяется в надпочечник, лимфатические узлы и отдаленные органы, в том числе головной мозг.
Методы диагностики
Для постановки диагноза при раке почки используют различные исследования. Первичное обследование включает сбор анамнеза, физический осмотр и пальпацию. На основе результатов врач назначает лабораторный метод диагностики: анализ крови – общий и биохимический, цитологию, анализ мочи.
Внимание обращают на анемию, повышенное СОЭ, эритроцитоз, ферментативные сдвиги. Дополнительная диагностика включает:
- Ультразвуковое исследование почек.
Назначается на начальном этапе диагностики. Ультразвуковой датчик позволяет определить наличие изменений в контурах органа. При кровоизлияниях и некрозе наблюдается неоднородность эхосигнала. Опухолевое новообразование поглощает ультразвуковую волну.
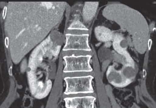
- МСКТ органов брюшной полости с контрастированием.
Мультиспиральная компьютерная томография – передовой метод диагностики рака почки, который позволяет использовать технологию трехмерного моделирования для точного исследования органа. Уролог полностью оценивает состояние почки со всех ракурсов, в том числе кровеносные сосуды, чашечно-лоханочную систему, их соотношение с патологическим процессом. Метод наложения изображения позволяет исследовать топографическое отношение анатомических структур, что крайне необходимо при подготовке к резекции почки.
Диагностика опухоли и рака почки
1) Лабораторные исследования крови и мочи (часто наблюдаются анемия, ускоренная СОЭ, гематурия). Однако эти симптомы неспецифичны, и их отсутствие не исключает диагноз рака почки.
2) Ультразвуковое исследование (УЗИ)
является скрининговым методом диагностики, позволяет определить характер объемного образования почки, дифференцировать с кистозным образованием и солидной опухолью.
3) Мультиспиральная компьютерная томография с контрастированием (МСКТ)
является золотым стандартом. Этот метод позволяет точно определить границы опухоли, ее диаметр, положение, а также прорастание опухоли в соседние ткани. Точность в диагностике составляет 95 процентов. Мультиспиральную КТ органов грудной клетки выполняют при подозрении на метастатическое поражение при обычной рентгенографии.
Рисунок 2. КТ картина папилярно-клеточной карциномы почек
4) Магниторезонансная терапия (МРТ
почек выполняется в том случае, если есть противопоказания к проведению МСКТ. Используется для визуализации протяжённых жидкостных трубчатых структур, таких, как магистральные сосуды, что важно у больных опухолевым тромбозом.
5) Сцинтиграфия почек путём непрямой ангиографии позволяет оценить функцию почек, особенности кровоснабжения, визуализировать опухолевое образование.
6) Ангиография
в основном проводится при планировании эмболизации почечных артерий.
7) Биопсия опухоли почки
проводится с целью уточнения природы опухоли (злокачественная или доброкачественная), её гистологического типа и градации.
Лечение
Операция – наиболее эффективный способ лечения рака почки, который применяется даже при регионарных и отдаленных метастазах. Хирургическое вмешательство позволяет удлинить срок жизни пациенту, наладить качество жизни. При лечении используют современные методы: резекцию и нефрэктомию лапароскопическим или робот-ассистированным доступом.
При метастазах целесообразно проводить операцию с целью получения подробной информации о гистологической форме рака. Это необходимо для дальнейшего проведения иммунно или таргетной терапии.
Лапароскопическая и роботассистированная резекция почки
Резекция подразумевает частичное удаление почки. Операцию проводят двумя методами:
- Лапароскопическая резекция – метод лечения, подразумевающий удаление опухоли и части здоровой ткани, отступая 1 см. Хирург делает 3-4 прокола: в одно отверстие вводит лапароскоп с видеокамерой. Через другие проколы выполняет удаление опухоли с использование специальных инструментов. Вопрос об операции с сохранением органа рассматривается при любой технической возможности.
- Роботассистированная резекция проводится дольше лапароскопической, поскольку на начальном этапе требуется установка троакаров и позиционирование робота da Vinci. В брюшную полость вводят оптику с 3D изображением. Наличие манипулятора (третьей руки) позволяет зафиксировать орган в удобном положении. За счет визуализации и свободы движения рук удается провести операцию более деликатно. Опухоль выделяется лучше, поэтому хирург имеет возможность сохранить здоровую ткань почки.
Симптомы и признаки
У мужчин сложно обнаружить симптомы рака почки, которые могут не проявиться на первых стадиях. Более 50% заболеваний выявляются случайно при ультразвуковом или компьютерном обследовании, либо при лечении совершенно разных заболеваний почек. Симптомы болезни могут включать:
- Постоянная утомляемость;
- повышенное потоотделение, особенно ночью;
- внезапная потеря веса:
- анемия;
- резкое повышение температуры;
- слабость и утомляемость.
Однако есть три основных симптома, которые требуют неотложной медицинской помощи, поскольку они появляются, когда процесс уже далеко продвинулся:
- Гематурия или появление крови в моче — явление непостоянное, может возникать однократно или в течение более длительного периода времени. Часто это сгустки крови, похожие на червя;
- боль в животе или пояснице — возникает при увеличении опухоли, коликах, вызванных сгустком крови, кровотечением или разрывом ткани опухоли;
- пальпация опухоли в области брюшины.
Симптомы заболевания начинают проявляться, когда опухоль уже достаточно велика и нарушает работу органов. Поэтому необходимы регулярные осмотры, профилактическое УЗИ почек и полное компьютерное обследование. Регулярные анализы крови и мочи также помогут выявить болезнь на ранней стадии.
Лапароскопическая и роботассистированная нефрэктомия
Нефрэктомия – операция по удалению почки, которая проводится при поздних стадиях рака. Как и при резекции, метод выполняется с помощью лапароскопа или робота:
- Лапароскопическая нефрэктомия. Показана, когда опухоль имеет большие размеры или есть данные о ее распространении в почечные сосуды или элементы чашечно-лоханочной системы. При операции врач использует троакар и лапароскоп с видеокамерой. Они вводятся через небольшие проколы, после чего на основе изображения с лапароскопа, которое передается на экран, врач удаляет орган.
- Роботическая нефрэктомия. Применяется, когда новообразование имеет большие размеры или распространилось за пределы органа. Главное преимущество над лапароскопической нефрэктомией в том, что выделение тканей проводится более деликатно, руки врача свободны за счет дополнительной «третьей» руки робота.
Традиционная химиотерапия и лучевая малоэффективны в лечении рака почки, поэтому в клиниках Москвы предлагают выполнить частичное или полное удаление органа.
В большинстве случаев удаление опухоли или всей почки при отсутствии метастазов позволяет полностью излечить пациента от рака. При мтс назначают или иммунную или таргетную терапию.
Радикальные методы лечения рака почки без операции:
- Радиохирургический метод. Бескровное дистанционное разрушение опухоли с помощью роботизированной установки Кибернож. Гибель раковых клеток происходит под действием высоких доз облучения. Исключительная точность метода позволяет свести к минимуму действие радиации на здоровые ткани. Результат терапии Кибер-ножом сравним с результатом обычной операции или удаления опухоли почки малоинвазивными методами (лапароскопия, эндоскопическая хирургия). При этом в процессе процедуры пациент не испытывает каких-либо неудобств, не нуждается в наркозе и может быть выписан домой сразу после лечения. Единственное ограничение использования метода – размер очага больше 6 см.
- Разрушение лазером. Еще один способ радикальной терапии на ранних стадиях. Применяется редко из-за высокого риска рецидива.
- Разрушение замораживанием (криоабляция) или нагреванием (радиочастотная абляция). При использовании этих методов к новообразованию через специальные иглы подводится закись азота или токи высокой частоты. Процедуры осуществляются под местным наркозом и рентгеновским контролем. Применяются редко вследствие вероятности возвращения болезни.
На 3 стадии проводится комплексная терапия с использованием различных методов:
- хирургии и химиотерапии;
- хирургии, химиотерапии и лучевой терапии.
Перед хирургическим вмешательством может быть выполнена блокировка кровоснабжения опухоли для уменьшения ее размеров.
Химиотерапия при раке почки обычно включает назначение комплекса лекарственных препаратов:
- ГЦ – гемцитабин и цисплатин.
- GemCarbo – гемцитабин и карбоплатин.
- MVAC – Метотрексат, винбластин, доксорубицин и цисплатин.
В редких случаях химиопрепараты вводятся через зонд непосредственно в мочеточник (регионарная химиотерапия). Это способ может быть выбран в качестве альтернативы операции.
Параллельно с химиотерапией при лечении больных с раком почки на этой стадии может быть назначена иммунотерапия (интерлейкин-2 или интерферона-Альфа) и/или таргетинговая терапия (сорафениб (Нексавар), сунитиниб (Сутент), temsirolimus (Torisel), эверолимус (Afinitor), бевацизумаб (Авастин), pazopanib (Votrient), или акситиниб (Inlyta)).
Выбор комплекса методов лечения на 4 стадии определяется в зависимости от состояния пациента, характера и распространенности проблем.
